当院の審美治療について
セラミックでむし歯リスクを抑えて美しい歯に
当院の審美治療では、詰め物や被せ物の素材にセラミックを用いています。白く、天然歯に近い質感を持つセラミックには、プラークを寄せつけにくいという性質があり、むし歯や歯周病の予防にも有効です。金属を使っていないので、アレルギーを起こす心配もありません。「昔に治療した銀歯が気になる」という場合は、銀の詰め物をセラミックに変えることもできます。
セラミックの種類について
セラミックには数種類あり、患者さまのご要望に合わせてお選びいただけます。治療時に詳しく説明しますので、気になることがあればご遠慮なくお尋ねください。
セラミック治療のメリット・デメリット
メリット
- プラークがつきにくく、むし歯や歯周病のリスクを抑える
- 白く、透明感があり、見た目が天然歯に近い
- 金属アレルギーの心配がない
- 耐久性がある
- 変色しない
デメリット
- 衝撃で割れることがある
- 保険診療では扱えない
セラミック治療の治療期間・治療回数・費用
- 治療期間
- 1~2か月
- 治療回数
- 2~3回
- 費用
- 5.5~6.6万円(税込)
当院のホワイトニング
オフィスホワイトニングを行っています
当院が導入しているホワイトニングシステムでは、短期間の施術で安全に、効率的に歯を白くします。専用の薬剤を歯に塗布後、ライトを照射して透明感のある自然な白さに仕上げていきます。
オフィスホワイトニングのメリット・デメリット
メリット
- 短期間で効果を実感できる
- 歯科医院での施術で安心
- 口内環境の改善が期待できる
- 上下8本、計16本の歯を白くできる
デメリット
- 詰め物や被せ物は白くならない
- 奥歯までは白くできない
- 色戻りが早いことがある
オフィスホワイトニングの治療期間・治療回数・費用
- 治療期間
- 3時間
- 治療回数
- 1回
- 費用
- 38,500円(税込)
施術の流れ

- 1問診
- むし歯や歯周病がないかを確認します

- 2施術の説明
- 問診で問題がなければ、施術について説明します

- 3施術スタート
- 説明にご納得いただけたら、施術スタートです
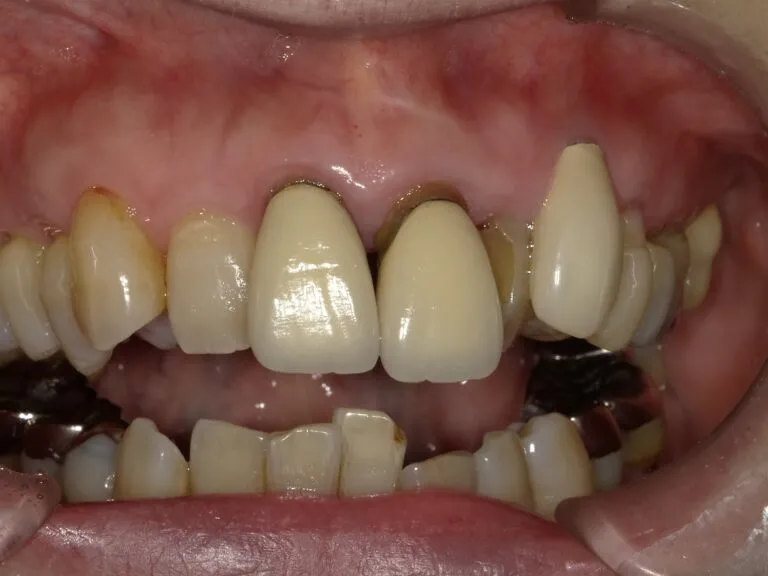
症例
- メリット
- ・見た目がきれい
・プラークが付着しにくい
・金属アレルギーの心配がない
・被せものと歯の適合性がよいため虫歯になりにくい
- デメリット
- ・強い衝撃が加わると割れることがある
・高価である
- 治療期間
- 全症例 3回
- 費用
- 66,000円(税込)
審美治療 症例①


審美治療 症例②


審美治療 症例③






